什么是颈椎病
颈椎病是临床常见的骨科疾病,是颈椎骨关节炎、颈椎间盘突出症等的总称,以颈椎退行性改变为基础,其发生原因多为颈椎劳损、骨质增生所致的脊髓、神经根受压并引发一系列功能障碍。临床上颈椎病常表现为手指发麻、下肢乏力、颈椎疼痛等,并伴有恶心、呕吐、视力障碍等,严重影响了病人的生活质量。
颈椎病发病机理
颈椎病有突然发病与缓慢发病,发病机制很复杂,在颈椎病的病理变化中,涉及了颈椎间盘、椎体排列结构、小关节的吻合关系、椎体间隙、椎间孔等骨骼结构的变化,与椎体骨骼各部位的骨质增生变化。
颈椎的退行性变,导致了椎体内在平衡失调、血管神经组织的刺激压迫症状,引起临床各类病症的发生。颈椎病的早期表现并不一定完全具备医学分型中的典型症状,由于颈椎的退行性变,关节内在平衡失调,颈椎生理前突消失,椎体发生滑移与小关节紊乱,使颈椎的生物力学特点受到影响,这时肌肉首先协助维持关节的内在稳定,由于肌肉的维持代偿作用,颈椎尚能维持其生理功能,代偿的肌肉长时期处于紧张状态而形成劳损,表现出颈肩肌肉酸痛症状。用手触摸时会感到肌肉弹性降低,发硬与紧张,日常睡觉晨起时频繁发生类似落枕样的感觉,颈椎的活动不如以前灵活。这种情况应区别与颈肩劳损与落枕,更不是认为是感受风寒、受风着凉所致。应该想到这会是颈椎病的初期。要及时到医院找医生诊治或采取主动的康复治疗。
颈椎病已经成为现今影响人们身体健康的常见疾病之一,无论是在国内还是国外颈椎病的危害性和覆盖面都是极广的,根据最新世界卫生组织所公布的全球十大顽疾中,颈椎病位于第二位。目前我国颈椎病发病率已经接近20%,且近年来颈椎病还有明显的年轻化趋向,越发多的年轻人已经开始出现颈椎问题。
颈椎病的预防措施
01
保持良好的姿势
日常生活中应该纠正不良的姿势和习惯,让颈椎的负担不过重。防止持久的单一姿势,当人们连续工作半小时或者一小时后,体位应该进行适当的改变,每经过2-3小时后,需进行活动或者保健操避免肌肉疲劳是一大原则。注意端正头、肩、背的姿势,不要偏头耸肩,谈话、看书时要正面注视,保持脊柱的正直。避免头颈负重物,避免过度疲劳。
02
选择合适枕头
糟糕的枕头设计是导致颈椎病发病率高的重要因素,不适当的枕托对颈椎有不良影响,导致颈部疼痛和颈源性头痛,最终导致睡眠质量差。预防颈椎病要选择合适的枕头,枕头的主要作用是维持人体颈椎正常的生理曲线,保证人体在睡眠时颈椎的生理弧度不变,所以枕头的高低、长短、软硬等和颈椎健康关系密切。
03
保持乐观精神
研究表明,长期压抑感情,遇事不外露,多愁善感的人易患神经衰弱,神经衰弱会影响骨关节及肌肉休息,长此以往,颈肩部容易疼痛,容易患上颈椎病。所以,要经常保持乐观向上的好心情,即使是那些已患有颈椎病的患者们,也要树立与疾病艰苦抗衡的思想,配合医生治疗,减少复发。
04
注意饮食和保暖
合理的用膳,均衡膳食。颈椎病患者平时应以富含钙、蛋白质、维生素 B族、维生素 C和 维生素 E的饮食为主。其中钙是骨的主要成分,以牛奶、鱼、猪尾骨、黄豆、黑豆等含量为多。蛋白质也是形成韧带、骨骼、肌肉所不可缺少的营养素。维生素B、E则可缓解疼痛,解除疲劳。要防止酗酒, 因为酒精会影响钙质在骨上沉积, 使人们易患骨质疏松症、骨质软化症, 加速颈椎退行性改变, 从而加大颈椎病的发病率。
寒冷受凉容易诱发颈椎病, 夏季要注意不要用电风扇和空调直接吹颈部, 冬天要注意颈部的保暖。
个性化定制颈椎枕
合适高度及形态的枕头有助于维持颈椎的生物力学平衡, 可以预防颈椎病。颈椎枕具有牵引作用, 能够缓解颈部肌肉痉挛, 减轻神经根压迫, 有助于恢复颈椎的生理曲度,长期姿势不良可导致颈部肌肉及韧带等组织处于紧张状态。
使用合适的颈椎枕缓解颈项部肌肉紧张, 改善血液循环, 加速炎症物质代谢, 防止颈椎病的发生或缓解病情。颈椎枕不仅可以维持颈椎的生理曲度, 还可以使颈椎轻度后伸, 有助于改变日常工作和生活中始终维持颈椎前屈的状态。
目前颈椎枕种类繁多,有些颈椎枕常存在质地过软、矫正作用差的问题, 没有个性化矫形规划,软材料也会导致矫正力度和矫正结果比较随缘。选择不合适的枕头大小,可能导致颈部疼痛或加重。
每个人的颈椎曲度不同,颈椎软组织情况各异,部分患者处于颈椎病的不同阶段,因此需要进行个性化颈椎枕设计,进行颈椎曲度与颈椎周围肌腱、韧带等软组织弹性的个性化矫正。
上海交通大学医学院附属第九人民医院 3D 打印中心,通过对颈部进行光学扫描与颈椎侧位 X 光检查,测量颈椎曲度,由医生、矫形器师、工程师结合患者的情况设计制作3D打印个性化颈椎枕,矫正颈椎的生理曲度。患者适配后拍摄 X 光片,做到精准矫正与治疗, 避免使用不适和矫枉过正。
案例介绍
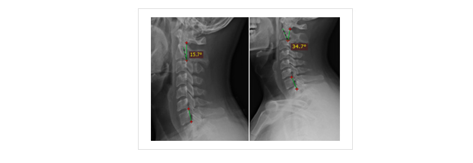
患者,男,33岁,治疗前双侧肩胛内缘及后颈部肌肉僵硬、酸麻、疼痛,以右侧为重,右侧上肢麻木,颈椎活动明显受限,查体示:椎孔外神经卡压(+),颈椎曲度15.7°。

使用6个月后复查,结果显示,颈肩部功能受限程度明显改善,疼痛评分降低,各查体试验阳性体征减弱,颈椎曲度逐渐恢复为34.7°,对疗效满意。